デンタルオフィス凛デンタルオフィス蓮デンタルオフィス零長島プロ&WORKSスピードスターコーヒーブランシェール

代表挨拶理念をみるグループ案内

総合計画チーム診療クリニックのこだわりQ&A 

診療案内

お支払い/保証制度料金について

社会貢献活動 ご予約・お問い合わせ

ホーム

作品事例

千葉市中央区の歯科グループ ZU WORLD GROUP トップ作品事例

オールセラミックス修復

担当歯科医師:佐藤 / 担当技工:ワールド・インテリジェンス・ジャパン

2017年2月22日H29.02.20 千葉市中央区 M.Y様 左上7番 オールセラミックス修復

オールセラミックス修復

担当歯科医師:直野 / 担当技工:ワールド・インテリジェンス・ジャパン

2017年2月20日H29.02.18 千葉市中央区 Y.M様 左上6番 オールセラミックス修復

ハイブリッドセラミックス修復

担当歯科医師:直野 / 担当技工:長島プロ&WORKS

2017年2月18日H29.02.17 千葉市中央区 Y.A様 右下臼歯部 ハイブリッドセラミックス修復

ハイブリッドセラミックス修復

担当歯科医師:佐藤 / 担当技工士:長島

2017年2月17日H29.02.13 千葉市中央区 E.T様 左下6番 ハイブリッドセラミックス修復

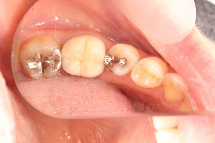
ハイブリッドセラミックス修復

担当歯科医師:直野 / 担当技工士:長島

2017年2月17日H29.02.09 千葉市中央区 M.K様 右下臼歯部 ハイブリッドセラミックス修復

ゴールド修復

担当歯科医師:佐藤

2017年2月9日H29.02.03 千葉市中央区 J.T様 左下7番 ゴールド修復

オールセラミックス修復

担当歯科医師:川津良介

2017年2月9日H29.02.03 千葉市中央区 A.S様 右上前歯部 オールセラミックス修復

ハイブリッドセラミックス修復

担当歯科医師:直野

2017年2月9日H29.01.28 千葉市中央区 T.A様 左下5番 ハイブリッドセラミックス修復

ハイブリッドセラミックス修復

担当歯科医師:直野

2017年2月9日H29.01.28 千葉市中央区 A.T様 右上5番 ハイブリッドセラミックス修復

オールセラミックス修復

担当歯科医師:川津良介

2017年2月9日H29.01.23 千葉市緑区 A.N様 右上1番 オールセラミックス修復

カテゴリ
最新のトピックス
バックナンバー
カテゴリ
    最新のトピックス
      バックナンバー

        診療科目

        ご予約・お問い合わせ