デンタルオフィス凛デンタルオフィス蓮デンタルオフィス零長島プロ&WORKSスピードスターコーヒーブランシェール

代表挨拶理念をみるグループ案内

総合計画チーム診療クリニックのこだわりQ&A 

診療案内

お支払い/保証制度料金について

社会貢献活動 ご予約・お問い合わせ

ホーム

作品事例

千葉市中央区の歯科グループ ZU WORLD GROUP トップ作品事例

義歯修復

担当歯科医師:川津良介 / 担当技工:メグデンタル

2017年3月19日H29.03.17 千葉市稲毛区 H.K様 左下臼歯部 金属床義歯

ハイブリッドセラミックス修復

担当歯科医師:佐藤 / 担当技工:アートテクノロジー

2017年3月17日H29.03.17 千葉市中央区 N.R様 右上56番 ハイブリッドセラミックス修復

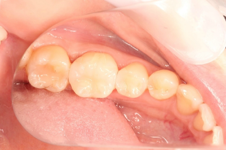
ハイブリッドセラミックス修復

担当歯科医師:川津良介 / 担当技工:アートテクノロジー

2017年3月17日千葉市中央区 J.S様 右下臼歯部 ハイブリッドセラミックス修復

ハイブリッドセラミックス修復

担当歯科医師:直野 / 担当技工:長島プロ&WORKS

2017年3月13日H29.03.11 千葉市中央区 Y.A様 左下6番 ハイブリッドセラミックス修復 担当歯科医師

ハイブリッドセラミックス修復

担当歯科医師:佐藤 / 担当技工:長島プロ&WORKS

2017年3月11日H29.03.08 千葉市中央区 Y.Y様 左上6番 ハイブリッドセラミックス修復

ハイブリッドセラミックス修復

担当歯科医師:直野 / 担当技工:長島プロ&WORKS

2017年3月10日H29.03.06 千葉市中央区 M.K様 左下臼歯部 ハイブリッドセラミックス修復

メタルセラミックス修復

担当歯科医師:川津良介 / 担当技工:アートテクノロジー

2017年3月10日H29.03.06 千葉市中央区 K.M様 メタルセラミックス修復

ハイブリッドセラミックス修復

担当歯科医師:川津良介 / 担当技工:アートテクノロジー

2017年2月28日H29.02.27 千葉市中央区 Y.T様 左下臼歯部 ハイブリッドセラミックス修復

メタルセラミックス修復

担当歯科医師:川津良介 / 担当技工:アートテクノロジー

2017年2月25日H29.02.24 千葉市美浜区 A.M様 上顎前歯部 メタルセラミックス修復

メタルセラミックス修復

担当歯科医師:直野 / 担当技工:アートテクノロジー

2017年2月25日H29.02.21 千葉市中央区 S.I様 左下6番 メタルセラミックス修復

カテゴリ
最新のトピックス
バックナンバー
カテゴリ
    最新のトピックス
      バックナンバー

        診療科目

        ご予約・お問い合わせ