デンタルオフィス凛デンタルオフィス蓮デンタルオフィス零長島プロ&WORKSスピードスターコーヒーブランシェール

代表挨拶理念をみるグループ案内

総合計画チーム診療クリニックのこだわりQ&A 

診療案内

お支払い/保証制度料金について

社会貢献活動 ご予約・お問い合わせ

ホーム

作品事例

千葉市中央区の歯科グループ ZU WORLD GROUP トップ作品事例

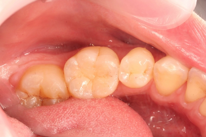
ハイブリッドセラミックス修復

担当歯科医師:佐藤 / 担当技工:長島プロ&WORKS

2017年8月19日千葉市中央区 K.K様 左下6番 ハイブリッドセラミックス修復

ハイブリッドセラミックス修復

担当歯科医師:佐藤 / 担当技工:長島プロ&WORKS

2017年8月19日千葉市中央区 E.N様 右下5番ハイブリッドセラミックス修復

オールセラミックス修復

担当歯科医師:恵理奈 / 担当技工:ワールドインテリジェンスジャパン

2017年8月10日千葉県四街道市 Y.T様 右上6番 オールセラミックス修復

メタルセラミックス修復

担当歯科医師:川津良介 / 担当技工:アートテクノロジー

2017年8月10日千葉市中央区 E.M様 右下3番 メタルセラミックス修復

ハイブリッドセラミックス修復

担当歯科医師:佐藤 / 担当技工:長島プロ&WORKS

2017年7月11日千葉市中央区 K.N様 左下7番 ハイブリッドセラミックス修復

オールセラミックス修復

担当歯科医師:佐藤 / 担当技工:ワールドインテリジェンスジャパン

2017年7月11日千葉県君津市 E.K様 右下7番 オールセラミックス修復

ハイブリッドセラミックス修復

担当歯科医師:佐藤 / 担当技工:長島プロ&WORKS

2017年7月11日千葉県中央区 J.K様 左上6番 ハイブリッドセラミックス修復

メタルセラミックス修復

担当歯科医師:佐藤 / 担当技工:アートテクノロジー

2017年7月11日千葉市中央区 E.Y様 左下7番 メタルセラミックス修復

ハイブリッドセラミックス修復

担当歯科医師:佐藤 / 担当技工:長島プロ&WORKS

2017年7月11日千葉市中央区 Y.S様 ハイブリットセラミックスインレー修復

メタルセラミックス修復

担当歯科医師:恵理奈 / 担当技工:アートテクノロジー

2017年7月1日千葉県四街道市 T.M様 右上1番メタルセラミックス修復

カテゴリ
最新のトピックス
バックナンバー
カテゴリ
    最新のトピックス
      バックナンバー

        診療科目

        ご予約・お問い合わせ