デンタルオフィス凛デンタルオフィス蓮デンタルオフィス零長島プロ&WORKSスピードスターコーヒーブランシェール

代表挨拶理念をみるグループ案内

総合計画チーム診療クリニックのこだわりQ&A 

診療案内

お支払い/保証制度料金について

社会貢献活動 ご予約・お問い合わせ

ホーム

作品事例

千葉市中央区の歯科グループ ZU WORLD GROUP トップ作品事例

ハイブリッドセラミックス修復

担当歯科医師:直野

2016年1月13日H28.01.12 千葉市若葉区 I.T様 右上2番 ハイブリッドセラミックス修復

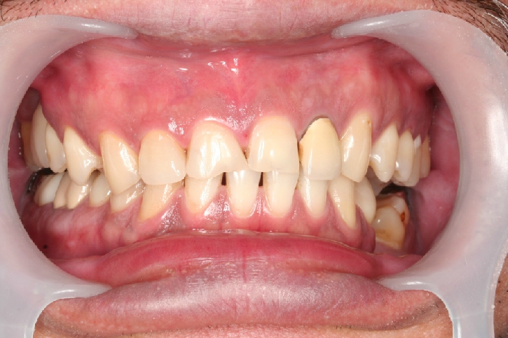
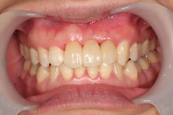
オールセラミックス修復

担当歯科医師:直野

2015年12月8日H27.12.07 千葉市中央区 S.R様 上顎前歯部 オールセラミックス修復

ハイブリッドセラミックス修復

担当歯科医師:佐藤

2015年12月6日H27.12.05 千葉市稲毛区 T.S様 右上6番 ハイブリッドセラミックス修復

オールセラミックス修復

担当歯科医師:川津良介

2015年12月3日H27.12.2 千葉市若葉区 H.H様 右上臼歯部 オールセラミックス修復

ハイブリッドセラミックス修復

担当歯科医師:佐藤

2015年12月1日H27.11.30 千葉市中央区 Y.S様 右下臼歯部 ハイブリッドセラミックスインレー修復

オールセラミックス修復

担当歯科医師:佐藤

2015年11月26日H27.11.25 千葉市中央区 N.T様 右上2番 オールセラミックス修復

オールセラミックス修復

担当歯科医師:川津良介

2015年11月19日H27.11.18 千葉市若葉区 H.H様 右上6番 オールセラミックス修復

メタルセラミックス修復

担当歯科医師:川津良介

2015年11月17日H27.11.16 千葉市中央区 H.N様 上顎前歯部 メタルセラミックス修復

メタルセラミックス修復

担当歯科医師:直野

2015年11月8日H27.11.07 千葉市中央区 H.N様 右上前歯部 メタルセラミックス修復

ゴールド修復

担当歯科医師:川津良介

2015年10月31日H27.10.30 千葉市中央区 T.S様 右下7番 ゴールド修復

カテゴリ
最新のトピックス
バックナンバー
カテゴリ
    最新のトピックス
      バックナンバー

        診療科目

        ご予約・お問い合わせ