デンタルオフィス凛デンタルオフィス蓮デンタルオフィス零長島プロ&WORKSスピードスターコーヒーブランシェール

代表挨拶理念をみるグループ案内

総合計画チーム診療クリニックのこだわりQ&A 

診療案内

お支払い/保証制度料金について

社会貢献活動 ご予約・お問い合わせ

ホーム

作品事例

千葉市中央区の歯科グループ ZU WORLD GROUP トップ作品事例

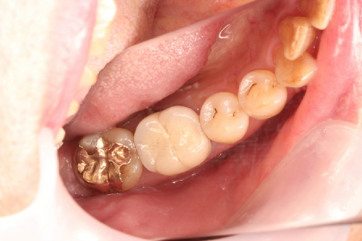
メタルセラミックス修復

担当歯科医師:川津良介

2016年7月5日H28.07.01 千葉市中央区 T.K様 右下4番 メタルセラミックス修復

メタルセラミックス修復

担当歯科医師:川津良介

2016年7月2日H28.07.01 千葉県市川市 H.M様 右下6番 メタルセラミックス修復

ハイブリッドセラミックス修復

担当歯科医師:佐藤

2016年6月28日H28.06.25 千葉市中央区 M.S様 左下臼歯部 ハイブリッドセラミックス修復

ハイブリッドセラミックス修復

担当歯科医師:佐藤

2016年6月25日H28.06.22 千葉市中央区 Y.I様 右上臼歯部 ハイブリッドセラミックス修復

ハイブリッドセラミックス修復

担当歯科医師:直野

2016年6月18日H28.06.08 千葉市中央区 Y.S様 左下7番 ハイブリッドセラミックス修復

ハイブリッドセラミックス修復

担当歯科医師:直野

2016年6月4日H28.06.04 千葉県船橋市 Y.T様 左下7番 ハイブリッドセラミックス修復

オールセラミックス修復

担当歯科医師:佐藤

2016年6月4日H28.06.03 千葉市中央区 M.Y様 上顎前歯部 オールセラミックス修復

ハイブリッドセラミックス修復

担当歯科医師:佐藤

2016年5月30日H28.05.30 千葉市中央区 M.S様 右下臼歯部 ハイブリッドセラミックス修復

オールセラミックス修復

担当歯科医師:直野

2016年5月30日H28.05.25 千葉市中央区 J.K様 右下臼歯部 オールセラミックス修復

メタルセラミックス修復

担当歯科医師:佐藤

2016年5月24日H28.05.23 千葉市中央区 N.T様 左上臼歯部 メタルセラミックス修復

カテゴリ
最新のトピックス
バックナンバー
カテゴリ
    最新のトピックス
      バックナンバー

        診療科目

        ご予約・お問い合わせ